Liver Metastases
Liver metastases are tumors that have spread to the liver from other areas of the the body. Cancer cells often have aggressive tendencies and will invade other areas of the body. They usually do so by floating in the blood stream and then replicating themselves in a new place. The liver, in particular, provides a fertile soil for metastatic spread because of its rich blood supply and the presence of humoral factors (other bodily fluids) that promote cell growth. In terms of blood flow per minute, the blood supply of the liver is second only to the lung.
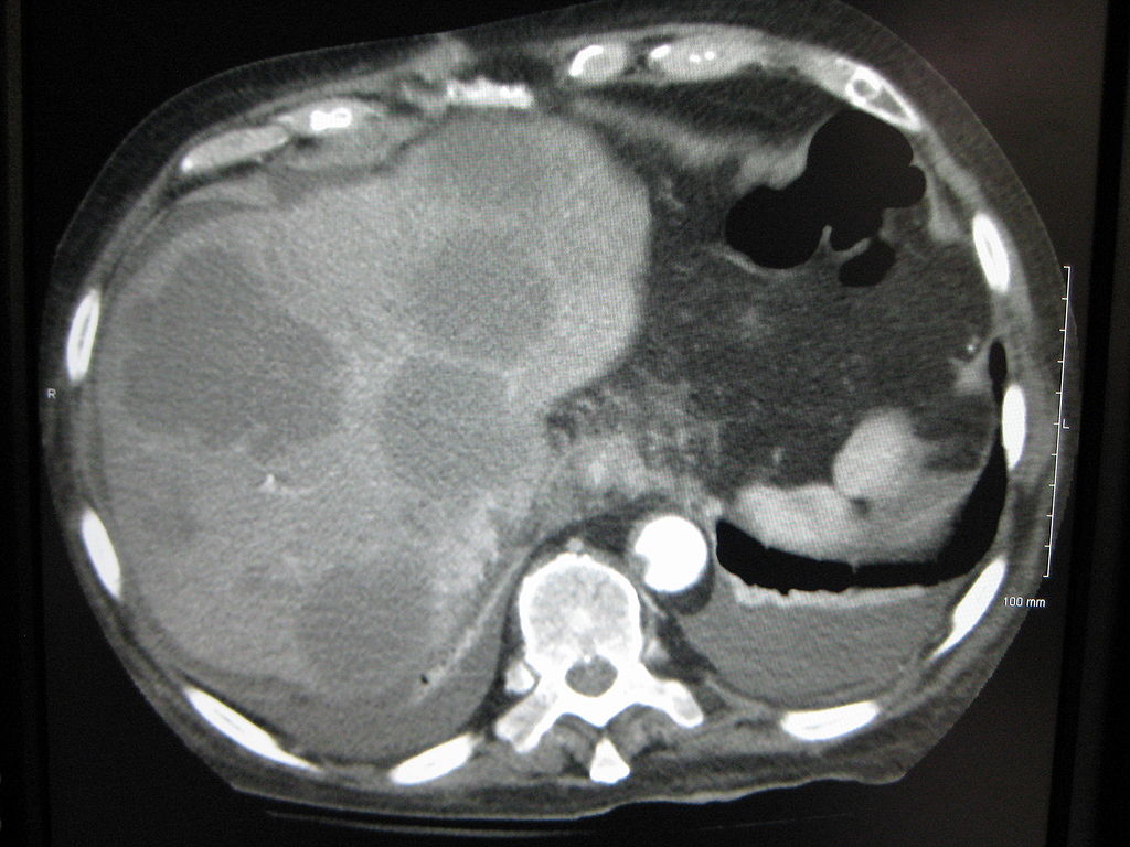
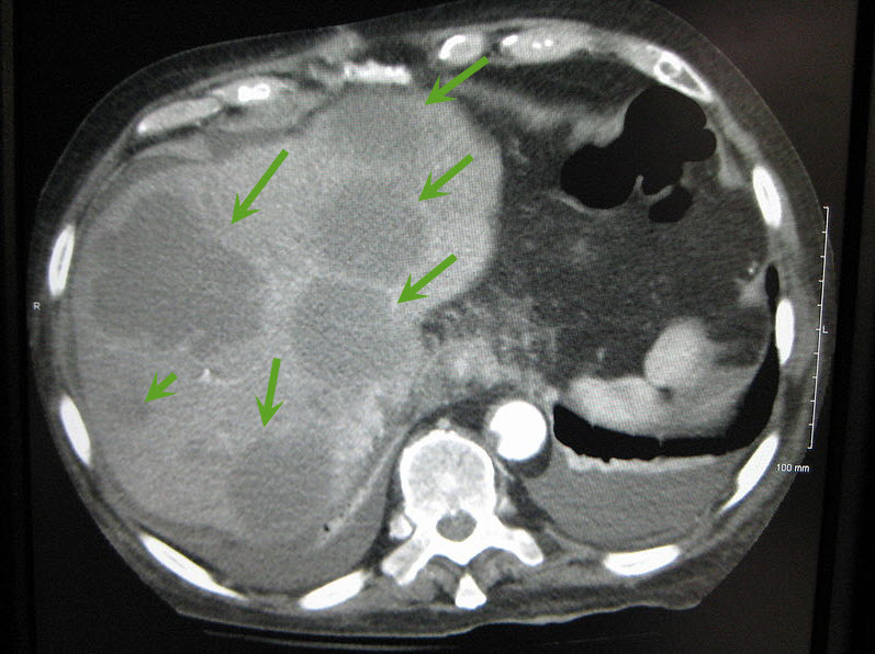
Click here or image for full size view
![]() |
Axial CT of the abdomen showing multiple liver metastases. Image courtesy of James Heilman, MD / Wikimedia Commons / CC-BY-SA-3.0 |
The risk of cancer spreading to the liver depends on the site of the original cancer.
For example, cancers of the GI tract often spread to the liver because their blood drains directly through the liver. Melanoma usually spreads through the body's blood vessels to the liver. Liver metastases are sometimes present when the original (primary) cancer is diagnosed, or it may occur months or years after the primary tumor is removed.
After the lymph nodes, the liver is the most common site of metastatic spread. Most liver metastases originate from the colon, rectum, pancreas, stomach, esophagus, breast, lung, melanoma and some less common sites.
Click here or image for full body view
Main sites of metastases for some common cancer types, showing liver as the target for many types. Primary cancers are denoted by "...cancer" and their main metastasis sites are denoted by "...metastases. Image courtesy of Mikael Häggström / Wikimedia Commons / CC-BY-SA-3.0 |
The majority of liver metastases present as multiple tumors. Only 10% of all cases present with a solitary metastatic lesion. Moreover, in more than three-quarters (3/4) of patients with liver metastases, there is involvement of both lobes of the liver.
Several factors influence the incidence and pattern of liver metastases. These include the patient's age and sex, the primary site, the histologic type, and the duration of the tumor. In a few tumor types, such as colonic carcinoma, carcinoid, and hepatocellular carcinoma (HCC), metastasis is confined to the liver. Most tumors that metastasize to the liver, such as breast and lung cancers, spread to other sites at the same time.
Colorectal Liver Metastases
Colorectal cancer frequently metastasizes to the liver. Patients presenting with operable liver metastases often receive chemotherapy followed by surgery to remove all visible disease, and then additional chemotherapy to eliminate non-visible microscopic disease. Patients with advanced colorectal cancer whose liver metastases are not amendable to surgery may still benefit from Radiofrequency Ablation (RFA) and Microwave Ablation (MWA) and other therapeutic options.
Prognosis
How well patients do depends on the location of the original cancer and how much it has spread to the liver. In a small number of cases, surgery to remove the liver tumors may lead to a cure. This is usually only possible in patients with certain tumor types (for example, colorectal cancer), and when there are a limited number of tumors in the liver.
In most cases, cancer that has spread to the liver is not curable. However, the treatments discussed above may help shrink tumors, improve life expectancy, and relieve symptoms.
Symptoms of Liver Metastases
When symptoms occur, they may include:
- Anorexia
- Fevers
- Jaundice
- Nausea
- Pain, usually in the upper right part of the abdomen
- Sweats
- Weight loss
Tests to Diagnose Liver Metastases include:
- Bilirubin blood test
- CT scan or MRI
- Liver function tests
- PET scan
- Ultrasound of the liver
- Treatment
Treatment
In the past, liver metastases were considered generally inoperable and treated with only palliative measures. More recently, however, there has been a paradigm shift in the treatment of liver metastases. Aggressive surgical resection followed by chemotherapy is now used in a select group of patients . Even for inoperable tumors, treatment modalities such as Radiofrequency Ablation (RFA) and Microwave Ablation (MWA) hold great promise for improving survival.
Treatment depends on the type of primary cancer site, the extent of spread to the liver (eg. one tumor vs. many tumors), whether the cancer has spread to other organs besides the liver, and the patient's overall condition. When the spread is limited to the liver, systemic chemotherapy may still be used. However, other treatment methods may be effective. When the tumor is only in a few areas of the liver, the cancer may be removed with surgery.
When the cancer has spread to the liver and other organs, whole-body (systemic) chemotherapy is usually the treatment of choice. Radiofrequency waves or injection of toxic substances may also be used. When larger areas of the liver are involved, treatment may involve chemotherapy directly into the liver, or a procedure to block blood flow to parts of the liver (embolization) to "starve" the tumor cells.
Possible Complications
Complications are generally the result of tumors spreading to a large area of the liver. They can include:
- Blockage of the flow of bile
- Decreased appetite
- Fever
- Liver failure (usually only in the late stages of disease)
- Pain
- Weight loss